Re: 부분교정 문의
페이지 정보
작성자 주상돈 (1.♡.236.30) 작성일26-04-14 07:46 조회21회 댓글0건관련링크
본문
안녕하세요?
대구예스타치과 주상돈박사입니다.
궁금하신 부분에 대한 답변을 드립니다.
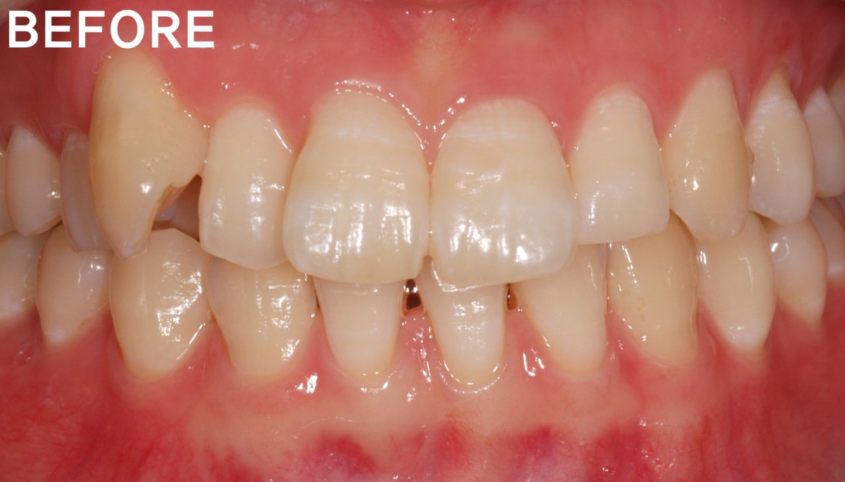
1. 오른쪽 앞니 한개(다른 앞니에 비해사 아주 살짝 들어간 느낌이라서 옆에있는 앞니랑 돌출 정도가 같게) > 2번 치아가 들린 느낌인데 반대쪽처럼 들어가게. > >
-> 먼저 설명하기전 투명교정 및 브라켓 교정의 장단점이 있습니다. 즉 브라켓교정으로 잘 되는 치료, 투명교정으로 잘 되는 치료가 있으며, 치아가 회전되어 있는경우 투명교정으로
치료가 되지만 시간이 더 소용됩니다. 하지만 치아가 돌출되거나 틈이 있는 교정치료의 경우 투명교정으로 치료가 잘됩니다.
보내주신 사진상에서 윗니 1번이 옆에 치아와 비슷하게 하는것은 투명교정, 브라켓교정으로 간단하게 차료됩니다. 2번이 송곳니가 회전되어서 바르게 되는것은
브라켓교정으로 하는것이 좀더 빠르게 이동하고 치료기간이 짧습니다.
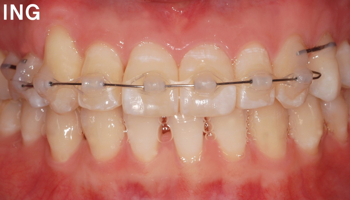
2. 아랫니 교정 송곳니까지(4~6개) > 가지런히 교정하고싶은데 > > 이런식으로 부분 교정을 했을때 > 브라켓과 투명교정 비용을 알고싶습니다 > >
-> 아랫니는 투명교정, 브라켓교정으로 치료가 다 가능합니다.
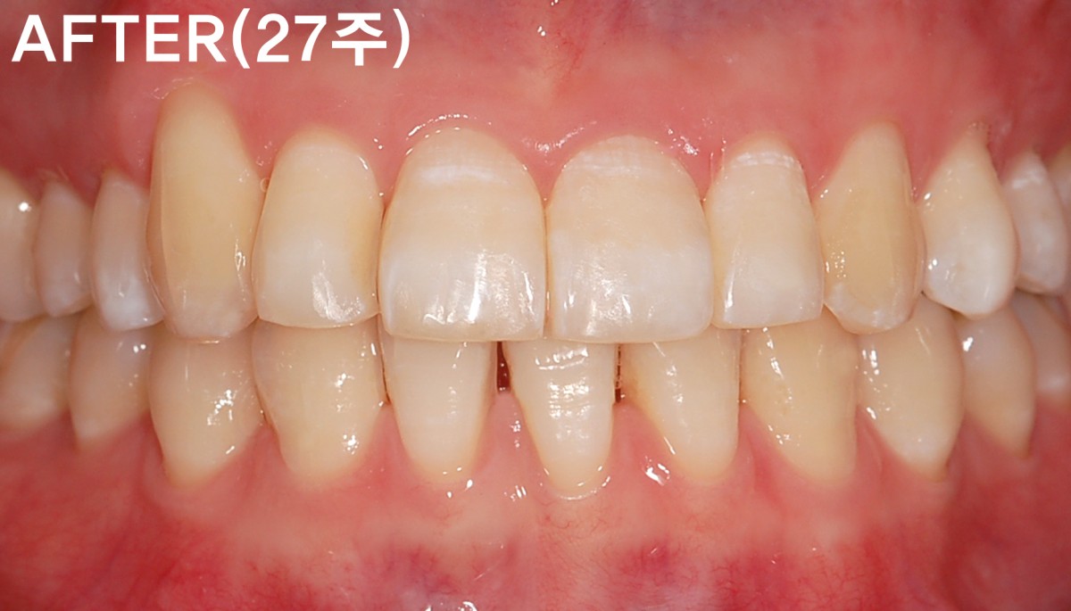
정리를 하자면 브라켓교정(MTA부분교정포함)으로 윗니 아랫니 교정을 했을겨웅 6-8개월 소요되며(앞니중 송곳니는 다른 앞니에 비해서 치아뿌리도 길고
굵어서 송곳니를 바르게 하는데는 다른 앞니보다 치료기간이 더 필요합니다.), 윗니기준 180만원(월교정비4만원) 아랫니 경우 6개 치료는 180만원
4개치아 교정은 150만원입니다. 아랫니 4개 교정기간은 5-6개월정도 소요됩니다.
투명교정의 경우 윗니 아랫니 각각 200만원 비용이 듭니다.(월교정비 4만원)
감사합니다.



