Re: 부분 교정 온라인 상담 문의드려요!
페이지 정보
작성자 주상돈 (1.♡.236.30) 작성일25-11-16 06:20 조회581회 댓글0건관련링크
본문
안녕하세요? 보미님.
대구예스타치과 주상돈박사입니다.
부분교정에 관해서 몇가지 궁금한 내용을 정리 잘해주셨는데 하나씩 알아보도록 하겠습니다.
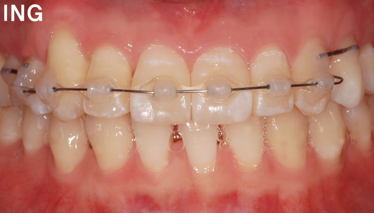
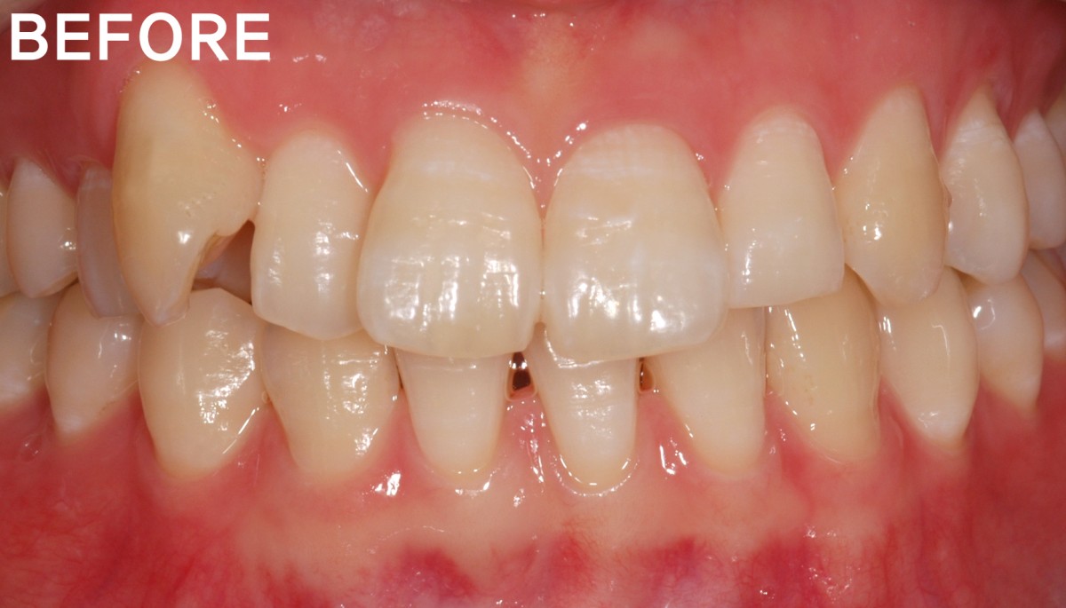
1. 윗니는 토끼이빨을 치간 삭제 같은 걸 이용해서 다른 치아들 크기와 비슷하게 맞추도 싳어요 >
-> 예, 가능합니다.
2. 아랫니는 가지런 하게 만들고 싶어요 > >
-> 아랫니가 윗니보다 교정치료가 수월한편입니다.
질문 > 1. 상담비=교정진단비는 얼마인지 (x-ray비용 / 정밀검사비용) >
-> 첫날 기본적인 상담비는 2만원 내외듭니다. 스캔을 이용해서 예상 치료후 모습을 시뮬레이션하는 진단은 약 1주일간의 시간이 걸리고 비용은 5만원 비용이 듭니다.
2. 부분 교정 비용은 위 아래 다하면 얼마인지 >
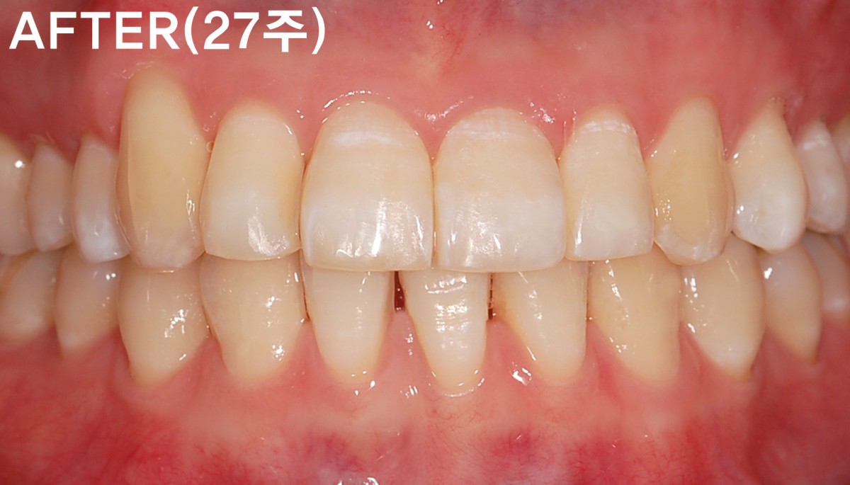
-> 윗니는 1번의 송곳니 교정을 해야됩니다. 송곳니는 뿌리가 길고 굵어서 다른 앞니보다 교정치료기간이 더 많이 소요됩니다. 윗니 교정기간은 6-8개월 소요됩니다.
윗니는 180만원 비용이며, 아랫니는 4개의 앞니를 바르게 할 경우 150만원 비용이 듭니다.
3. 분할 결제 가능한지, 가능하다면 한번에 결제하는 것과 금액 차이가 있는지 >
-> 가능합니다. 분할과 한번에 납부하는것에 대한 차이는 없습니다.
4. 유지장치비는 얼마인지 >
-> 교정비용에 포함되어 있으며, 추가적인 비용은 없습니다.
5. 월비는 얼마인지 >
-> 교정치료 시작하고 두번째 달부터 4만원 비용이 듭니다.
6. 교정 기간은 어느정도인지 >
-> 윗니는 6-8개월, 아랫니는 5개월정도 예상하시면 됩니다.
7. 상담 당일 위아래 다 교정기 부착이 가능한지 > >
-> 첫날이 시간이 많이 걸려서 일반적으로 윗니 먼저 부착하고 일주일 뒤 아랫니 부착합니다. 윗니만 부착하더라도 40-50분 소요됩니다.
궁금한 내용에 답변이 되었는지요?
깊어가는 가을, 휴일 즐거운 시간 보내시길 기원합니다.






