Re: 부분교정 문의드립니다!
페이지 정보
작성자 주상돈 (1.♡.236.30) 작성일26-03-18 07:45 조회144회 댓글0건관련링크
본문
안녕하세요?
대구예스타치과 주상돈박사입니다.
부분교정에 관해 몇가지 궁금한 내용 답변을 드립니다.
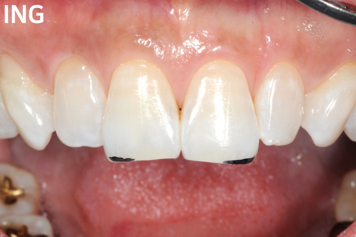
1. 현재 앞니가 약간 앞으로 돌출되어 있고, 끝 부분이 살짝 벌어진 상태입니다. > 아랫니는 겉으로 보기에는 크게 티가 나지 않지만, 높낮이 차이와 약간의 불균일함이 있습니다. > >

-> 현재상태에서 2번치아가 살짝 틀어져 있습니다. 이로 인해 3 공간이 생겼으며, 부분교정을 통해 2을 바르게 하면 1 부분공간도 줄어들게 됩니다. 비슷한 임상예를
올려드립니다. 참고로 올린 사진임상예보다는 현재는 휠씬 치료가 간단하고 장치물도 복잡하지 않아서 눈에 많이 띄지는 않습니다.
2. 아랫니는 교정보다는 최소한의 형태 조정(법랑질 범위 내에서)으로 개선이 가능한지도 함께 상담받고 싶습니다. > >
-> 개선 가능합니다.
3. 첨부한 사진 기준으로 부분교정이 가능한지와 대략적인 비용 및 치료 기간 안내 부탁드립니다.감사합니다. > >
-> 부분교정 가능하며, 치료기간은 4-5개월, 비용은 150만원(월교정비 4만원)입니다. 유지장치제작 비용은 추가적으로 없습니다. 감사합니다.


