부분교정 문의
페이지 정보
작성자 신명희 (39.♡.11.91) 작성일26-03-17 19:14 조회144회 댓글0건관련링크
본문
안녕하세요!
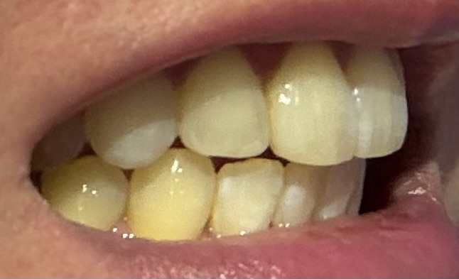
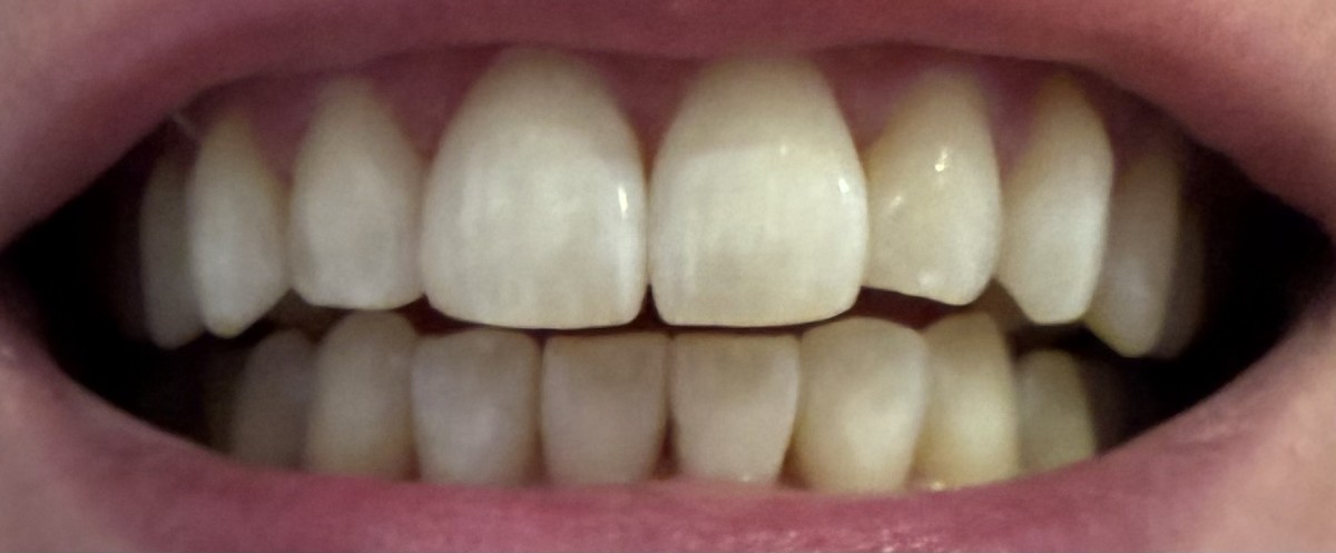
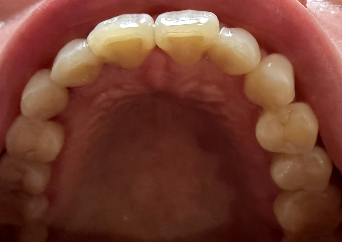
전반적으로 이가 가지런한 편입니다만
앞니가 측절치와 약간씩 어긋나있으며 측면에서 보았을때 입이 묘하게 돌출되어 보입니다.
이런 경우도 부분 교정 가능할까요?
그리고 앞니가 유난히 뚱뚱하고 긴데 이 부분도 교정하면서 약간 다듬을 수 있는지도 궁금합니다.
특이사항으로는 양쪽 측절치 벌어짐이 있어 2-3년전 레진으로 메웠습니다.
전반적으로 이가 가지런한 편입니다만
앞니가 측절치와 약간씩 어긋나있으며 측면에서 보았을때 입이 묘하게 돌출되어 보입니다.
이런 경우도 부분 교정 가능할까요?
그리고 앞니가 유난히 뚱뚱하고 긴데 이 부분도 교정하면서 약간 다듬을 수 있는지도 궁금합니다.
특이사항으로는 양쪽 측절치 벌어짐이 있어 2-3년전 레진으로 메웠습니다.





